Los diastemas, también conocidos como espacios entre dientes, son una condición dental común que puede afectar tanto a niños como a adultos. Aunque a menudo se consideran un rasgo estético, los diastemas también pueden tener implicaciones para la salud bucal.
En este artículo del blog de CEID, clínica dental en Barcelona, exploraremos en detalle qué son los diastemas, sus causas y cómo pueden tratarse eficazmente para mejorar tanto la estética como la funcionalidad dental.
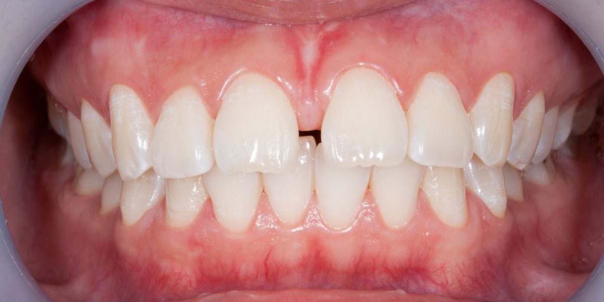
¿Qué son los diastemas?
Los diastemas son espacios o separaciones anormales entre dos dientes, más comúnmente observados entre los incisivos superiores (los dos dientes frontales). Estos espacios pueden variar en tamaño y pueden aparecer en diferentes partes de la boca. Aunque en algunos casos los diastemas pueden ser imperceptibles, en otros pueden ser bastante notables y afectar la sonrisa de una persona.
Causas comunes de los diastemas
Tamaño y Forma de los Dientes: Una de las causas más comunes de los diastemas es la discrepancia en el tamaño o forma de los dientes. Cuando los dientes son demasiado pequeños en relación con el tamaño de la mandíbula, es más probable que se formen espacios.
Frenillo Labial: Un frenillo labial superior grande, que es la membrana que conecta el labio superior con las encías, puede causar un diastema entre los dientes frontales superiores. Si el frenillo se extiende demasiado cerca de los dientes, puede separarlos.
Pérdida de Dientes: La pérdida de un diente, especialmente en áreas visibles, puede provocar la migración de los dientes adyacentes, creando espacios.
Hábitos de la Infancia: Hábitos como chuparse el dedo o el uso prolongado del chupete pueden contribuir a la formación de diastemas en los niños.
Factores Genéticos: Los diastemas pueden ser hereditarios. Si los padres tienen diastemas, es probable que sus hijos también los desarrollen.
Tratamientos para los diastemas
La corrección de los diastemas puede abordar tanto preocupaciones estéticas como funcionales. En CEID, clínica dental en Barcelona, ofrecemos una variedad de tratamientos adaptados a las necesidades individuales de cada paciente.
- Ortodoncia
La ortodoncia es una solución común y efectiva para cerrar los diastemas. Los brackets y alineadores invisibles, como Invisalign, pueden reposicionar los dientes y cerrar los espacios gradualmente. Este tratamiento no solo mejora la estética, sino que también puede corregir problemas de mordida asociados.
- Carillas dentales
Las carillas dentales son finas láminas de porcelana o resina compuesta que se adhieren a la superficie frontal de los dientes. Son una excelente opción para cerrar diastemas pequeños y mejorar la apariencia general de los dientes. Las carillas pueden igualar el tamaño y la forma de los dientes, creando una sonrisa uniforme.
- Coronas dentales
En casos donde los dientes están dañados o necesitan restauración, las coronas dentales pueden ser una opción adecuada. Al cubrir todo el diente, las coronas pueden corregir tanto la apariencia como la función del diente afectado.
- Bonding dental
El bonding dental es un procedimiento en el cual se aplica una resina compuesta del color del diente para cerrar espacios y mejorar la apariencia de los dientes. Es una opción rápida y menos invasiva en comparación con otros tratamientos.
- Frenectomía
Si el diastema es causado por un frenillo labial demasiado grande, una frenectomía, que es una cirugía menor para recortar el frenillo, puede ser necesaria. Este procedimiento se realiza con anestesia local y es relativamente simple.
CEID, especialistas en estética dental
En CEID, clínica dental en Barcelona, estamos comprometidos con la salud y la estética dental de nuestros pacientes. Si tienes diastemas y estás considerando tratamiento, te invitamos a agendar una consulta con nuestro equipo de especialistas. Evaluaremos tu caso y te ofreceremos las mejores opciones para conseguir una sonrisa saludable y atractiva.
«cambiamos vidas, no sólo sonrisas».

Solicite ahora su consulta gratuita