Las manchas de tetraciclinas son una decoloración dental que afecta tanto la estética como la confianza de las personas. Este tipo de manchas es causado por el consumo de antibióticos de tetraciclinas durante el desarrollo dental, especialmente en la infancia.
En CEID Clínica Dental, ubicada en el corazón de Barcelona, ofrecemos soluciones avanzadas para este problema, siendo las carillas dentales una de las opciones más efectivas y populares.
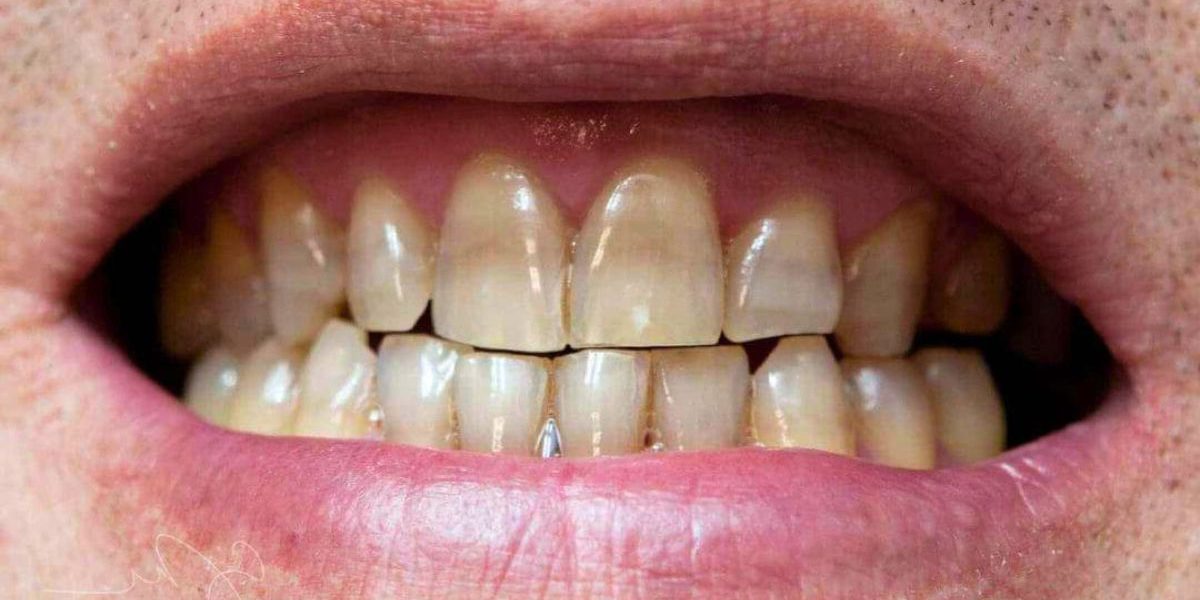
¿Qué son las manchas de tetraciclinas?
Las tetraciclinas son una clase de antibióticos que, si se toman durante el periodo de formación de los dientes, pueden provocar manchas en el esmalte. Estas manchas varían en color desde el amarillo al marrón oscuro y, en casos severos, pueden ser grises o incluso negras. Las manchas suelen ser permanentes y no se eliminan con técnicas de blanqueamiento tradicionales.
Carillas Dentales: la solución estética y duradera
Las carillas dentales son láminas delgadas de porcelana o composite que se adhieren a la superficie frontal de los dientes para mejorar su apariencia. Este tratamiento es ideal para corregir problemas estéticos como las manchas de tetraciclinas, ya que las carillas pueden cubrir completamente las zonas afectadas, devolviendo al paciente una sonrisa blanca y uniforme.
Beneficios de las Carillas Dentales para las manchas de tetraciclinas
Resultados Estéticos Inmediatos: A diferencia de otros tratamientos, las carillas ofrecen resultados inmediatos y visibles, permitiendo a los pacientes disfrutar de una sonrisa radiante desde el primer momento.
Durabilidad: Las carillas de porcelana, en particular, son muy resistentes y pueden durar entre 10 y 15 años con el cuidado adecuado.
Mantenimiento Sencillo: El cuidado de las carillas no es complicado. Se requiere la misma higiene dental que para los dientes naturales: cepillado regular, uso de hilo dental y visitas periódicas al dentista.
Personalización: En CEID Clínica Dental, cada carilla es personalizada para adaptarse al color, tamaño y forma de los dientes naturales del paciente, garantizando una apariencia natural y armoniosa.
Proceso de colocación de Carillas Dentales
Consulta Inicial y Evaluación: El proceso comienza con una consulta detallada en la que se evalúa la salud bucal del paciente y se discuten las expectativas. Esto incluye un análisis del grado de decoloración y una conversación sobre las opciones de tratamiento.
Preparación del Diente: En algunos casos, es necesario remover una pequeña cantidad de esmalte dental para asegurar que las carillas se adhieran correctamente. Este paso es mínimo y no afecta la estructura del diente de forma significativa.
Toma de Impresiones y Diseño: Se toman impresiones de los dientes para crear modelos precisos. Con estos modelos, se diseñan las carillas a medida, asegurando un ajuste perfecto y una apariencia natural.
Colocación de las Carillas: Una vez que las carillas están listas, se adhieren a los dientes con un adhesivo dental especializado. El dentista ajusta cuidadosamente cada carilla para lograr una alineación y apariencia óptimas.
CEID, especialistas en carillas dentales
Las manchas de tetraciclinas no tienen que ser una sentencia de por vida para una sonrisa apagada. En CEID Clínica Dental, ofrecemos soluciones efectivas y estéticamente agradables con el uso de carillas dentales. Nuestro equipo de expertos está aquí para ayudarte a recuperar la confianza en tu sonrisa. No esperes más para transformar tu vida; agenda tu consulta hoy y descubre cómo podemos ayudarte a lograr la sonrisa que siempre has deseado.
«cambiamos vidas, no sólo sonrisas».







