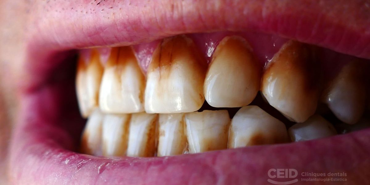
Si tus dientes presentan manchas muy oscuras por tetraciclinas, fluorosis, necrosis pulpar, tabaco u otros factores, esta guía resume las opciones reales de rehabilitación estética que utilizamos en CEID Clínicas Dentales Barcelona para devolver color, forma y función.
¿Qué es la tinción dental extrema?
Hablamos de tinción dental extrema cuando el cambio de color es tan intenso y profundo que afecta a dentina y esmalte. Suele deberse a tetraciclinas, fluorosis severa, traumatismos con necrosis, o hábitos como el tabaco.
En estos casos, el blanqueamiento dental externo por sí solo puede ser insuficiente o impredecible: aclara, pero no homogeneiza el color ni oculta bandas o moteados. Por eso la rehabilitación combina técnicas conservadoras y restauradoras para lograr un resultado estable y natural.
Nota clínica: si detectas un diente aislado muy oscuro tras un golpe o endodoncia, se puede valorar blanqueamiento interno en dientes no vitales antes de plantear opciones más invasivas.
Diagnóstico y planificación: la clave del resultado
Evaluación clínica y fotográfica
- Fotografías estandarizadas (intra/extraoral) y registro con guía de color por tercios para mapear bandas de tetraciclinas y zonas opacas/traslúcidas.
- Análisis de esmalte (grosor y translucidez) y restauraciones previas para decidir si bastan microabrasión + blanqueamiento o se requieren tratamientos de estética dental como carillas de porcelana.
- Estudio funcional y periodontal: línea media, plano oclusal, bruxismo (posible férula) y salud de encías para garantizar estabilidad y durabilidad.
Diseño y prueba estética (planificación digital)
- Escáner intraoral y planificación digital de la sonrisa para simular forma, longitud y tono objetivo.
- Encerado diagnóstico y mock-up en boca para validar estética y fonética antes de tratar.
Secuencia “de menos a más invasivo”
• Blanqueamiento externo ± blanqueamiento interno
Primera línea en casos leves/moderados. En tinciones por bandas intensas se usa como paso previo a restauraciones. Más info sobre el procedimiento de blanqueamiento dental.
• Carillas (porcelana, composite o microcarillas)
Indicadas en tinción severa cuando buscamos mínima invasión y control de color con naturalidad. Consulta las carillas de porcelana, carillas de composite y microcarillas.
• Coronas
Cuando hay gran pérdida de estructura o restauraciones extensas, las coronas cerámicas aportan resistencia y capacidad de enmascaramiento en sustratos muy oscuros.
• Rehabilitación completa
En casos complejos que requieren devolver estética y función de forma global, combinamos las especialidades y fases necesarias con provisionales estéticos.
Plan de tratamiento por niveles de severidad
1) Higiene profesional y microabrasión del esmalte
En tinciones superficiales o moteados localizados, la profilaxis y la microabrasión pueden suavizar irregularidades y mejorar el brillo. Limitado en tinciones profundas.
2) Blanqueamiento externo e interno
El blanqueamiento externo mejora 1–2 tonos en manchas moderadas; en bandas intensas suele ser el paso previo antes de carillas o coronas. En dientes no vitales, el blanqueamiento interno es el tratamiento de elección.
3) Carillas: la solución estrella en tinción severa
Las carillas dentales permiten enmascarar bandas y moteados con cerámicas de distintas opacidades, logrando estabilidad de color y longevidad con protocolo adhesivo. Existen varias opciones: carillas de porcelana, microcarillas y carillas de composite.
¿Cuándo elegirlas?
Los puedes elegir en los siguientes casos:
- Tinción profunda que no responde al blanqueamiento.
- Necesidad de modificar forma y simetría además del color.
- Pacientes que buscan durabilidad y bajo mantenimiento.
4) Coronas: cuando la estructura está comprometida
En dientes endodonciados, muy oscurecidos o con restauraciones amplias, las coronas cerámicas adheridas permiten un mascaramiento óptimo manteniendo estética natural.
5) Ausencias dentales y rehabilitación completa
Si existen piezas irrecuperables, planificamos una rehabilitación global con provisionales de alta estética, diagnóstico 3D y guías para resultados predecibles.
Casos especiales: encías y soporte tisular
Un buen color sin encías sanas no luce: cuidamos la biología y la arquitectura gingival para armonizar márgenes y papilas antes de restaurar. Todo el plan se integra dentro de Estética Dental.
Mantenimiento y garantía
- Revisiones cada 3–6 meses para higiene y pulido.
- Férula de descarga en caso de bruxismo.
- Ajustes oclusales y seguimiento cuando hay restauraciones extensas.
- Hábitos: reducir café, té y tabaco; higiene guiada.
Antes y después: cómo planificamos en CEID
Usamos fotografía clínica, escaneado intraoral y planificación digital para que veas el resultado antes de empezar. El mock-up en boca ayuda a decidir tamaño y forma. Coordinamos todas las especialidades en un mismo plan.
Puedes consultarnos por WhatsApp o puedes agendar una visita ¡Haz click en el botón!
Preguntas frecuentes
- ¿El blanqueamiento funciona en tinciones por tetraciclinas?
En tetraciclinas severas el blanqueamiento suele ser insuficiente para enmascarar bandas. Habitualmente lo combinamos con carillas.
- ¿Carillas o coronas para tinciones muy oscuras?
Si el diente está estructuralmente sano, preferimos carillas de porcelana o composite. Con gran pérdida de estructura, optamos por coronas.
- ¿Qué pasa si además faltan piezas?
Valoramos una rehabilitación completa integrando fases protésicas y estéticas. Desde el primer día contarás con provisionales de alta estética para no quedarte sin sonrisa.
- ¿Cuánto duran las carillas en tinción severa?
Con correcta indicación, adhesión y mantenimiento, las carillas de porcelana ofrecen alta longevidad y estabilidad de color. Requieren revisiones periódicas.
Solicite ahora su consulta gratuita







