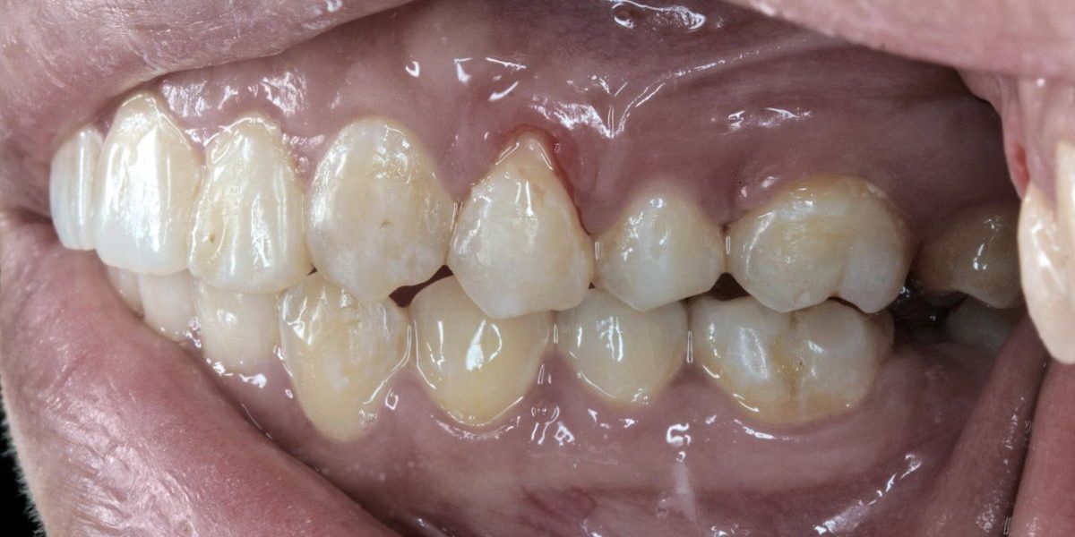
La retracción de encías, también conocida como recesión gingival, es una de las condiciones más comunes que afecta la salud bucodental. Se trata del desplazamiento gradual de las encías que rodean los dientes, exponiendo la raíz dental y provocando, en muchos casos, sensibilidad dental, caries y hasta la pérdida de piezas dentales si no se trata adecuadamente.
En CEID, tu clínica dental en Barcelona, hemos tratado a numerosos pacientes con esta afección, ayudándoles a recuperar la salud y la estética de su sonrisa. En este artículo, exploraremos en detalle las causas, síntomas y tratamientos más efectivos para la retracción de encías, optimizados con las últimas técnicas disponibles en odontología.
¿Qué es la retracción de encías?
La retracción de encías ocurre cuando el tejido gingival que rodea los dientes se desgasta o se desplaza hacia atrás, exponiendo más superficie del diente e incluso la raíz. Este fenómeno es progresivo y puede ser difícil de detectar en las primeras etapas, ya que suele desarrollarse de manera lenta. Sin embargo, con el tiempo, puede causar una serie de problemas dentales y estéticos que requieren intervención.
Principales causas de la retracción de encías
Enfermedad periodontal
Las infecciones de las encías, como la gingivitis o la periodontitis, son una de las principales causas de la retracción gingival. Las bacterias acumuladas en la placa y el sarro inflaman las encías y el hueso que sostiene los dientes, lo que provoca su deterioro y el desplazamiento del tejido.
Mala higiene dental
Una rutina de higiene inadecuada puede aumentar el riesgo de acumular placa bacteriana. El exceso de sarro o una limpieza deficiente inflaman las encías, acelerando el proceso de retracción.
Cepillado agresivo
Aunque es importante cepillarse los dientes correctamente, un cepillado demasiado enérgico o con cepillos de cerdas duras puede desgastar el esmalte dental y dañar el tejido de las encías.
Factores genéticos
Algunas personas son más propensas a sufrir de retracción de encías debido a la herencia genética. Si en tu familia existen antecedentes de problemas gingivales, es importante prestar especial atención a la salud de tus encías.
Bruxismo
El hábito involuntario de apretar o rechinar los dientes, conocido como bruxismo, genera una presión excesiva sobre los dientes y encías, favoreciendo la recesión gingival.
Tabaquismo
El consumo de tabaco afecta gravemente a la salud bucal. No solo aumenta el riesgo de enfermedad periodontal, sino que también interfiere en la correcta cicatrización de las encías y favorece su retracción.
Síntomas de la retracción de encías
Detectar a tiempo los primeros síntomas de la retracción de encías puede marcar la diferencia en el tratamiento. En CEID, clínica dental en Barcelona, recomendamos estar atento a los siguientes signos:
-
Sensibilidad dental: A medida que las raíces dentales quedan expuestas, los dientes se vuelven más sensibles al frío, calor o alimentos ácidos. Esta es una señal clara de que algo no está bien.
-
Dientes más largos: La recesión de las encías hace que los dientes parezcan más largos de lo habitual. Si notas un cambio en la longitud de tus dientes, consulta con un profesional dental cuanto antes.
-
Encías inflamadas o sangrantes: Las encías irritadas o que sangran al cepillarte pueden ser un indicativo de gingivitis o de una retracción temprana.
-
Aparición de bolsas periodontales: En las etapas más avanzadas de la enfermedad periodontal, pueden formarse bolsas entre los dientes y las encías, lo que facilita la acumulación de bacterias.
Tratamientos efectivos para la retracción de encías en CEID
Afortunadamente, la retracción de encías tiene tratamiento, y en CEID, tu clínica dental de confianza en Barcelona, estamos comprometidos a ofrecerte las soluciones más avanzadas y personalizadas. A continuación, te presentamos los métodos más efectivos para tratar esta condición.
Limpieza profunda: el primer paso para controlar la retracción de encías
Cuando la retracción de encías es causada por una enfermedad periodontal, el primer tratamiento recomendado es una limpieza profunda o raspado y alisado radicular. Este procedimiento se realiza para eliminar la placa bacteriana y el sarro acumulados por debajo de la línea de las encías.
Durante el raspado, el odontólogo elimina los depósitos de sarro en las raíces dentales, mientras que el alisado radicular ayuda a suavizar las superficies dentales para dificultar la nueva acumulación de bacterias. Este procedimiento puede mejorar significativamente la salud gingival y detener el avance de la retracción.
Injerto de encía: restaurando el tejido perdido
Para casos más avanzados de retracción gingival, uno de los tratamientos más efectivos es el injerto de encía. Este procedimiento quirúrgico consiste en extraer tejido de otra parte de la boca (generalmente del paladar) y trasplantarlo a las áreas afectadas por la recesión.
En CEID, utilizamos las técnicas más modernas de injerto gingival, que permiten una cicatrización más rápida y resultados estéticamente satisfactorios. El injerto no solo ayuda a restaurar la estética de la sonrisa, sino que también protege las raíces expuestas y previene futuros problemas dentales.
Uso de láser para el tratamiento de encías
La tecnología láser ha revolucionado el tratamiento de la retracción de encías. En CEID, empleamos láser de diodo para tratar infecciones periodontales y estimular la regeneración de tejidos. Este método es menos invasivo que las técnicas quirúrgicas tradicionales, lo que significa menos dolor y un tiempo de recuperación más rápido para nuestros pacientes.
Tratamientos ortodóncicos
En algunos casos, la retracción de encías puede estar relacionada con problemas de alineación dental. Los dientes desalineados o mal posicionados pueden ejercer presión sobre las encías, contribuyendo a su retracción. En estos casos, un tratamiento ortodóncico puede ser la solución ideal para aliviar la presión y prevenir una mayor recesión.
CEID, especialistas en salud dental
La retracción de encías es una condición común que puede tener serias consecuencias si no se trata a tiempo. En CEID, clínica dental en Barcelona, estamos comprometidos a brindarte los tratamientos más avanzados para mantener tu salud bucodental en óptimas condiciones. Desde limpiezas profundas hasta injertos gingivales y tecnología láser, contamos con una amplia variedad de soluciones para combatir la recesión gingival.
Si notas síntomas como sensibilidad dental, encías inflamadas o un cambio en la apariencia de tus dientes, no dudes en contactarnos para una evaluación. Tu sonrisa merece el mejor cuidado, y en CEID estamos aquí para ayudarte a mantenerla saludable.
«cambiamos vidas, no sólo sonrisas».







