Frenillos orofaciales : complicaciones y soluciones
Los frenillos son estructuras de tejido conectivo situadas en la boca, que vinculan distintas partes, desempeñando un papel crucial en la movilidad y funcionalidad orofacial. Existen tres principales frenillos en la cavidad oral: el lingual, el labial superior, y el labial inferior.
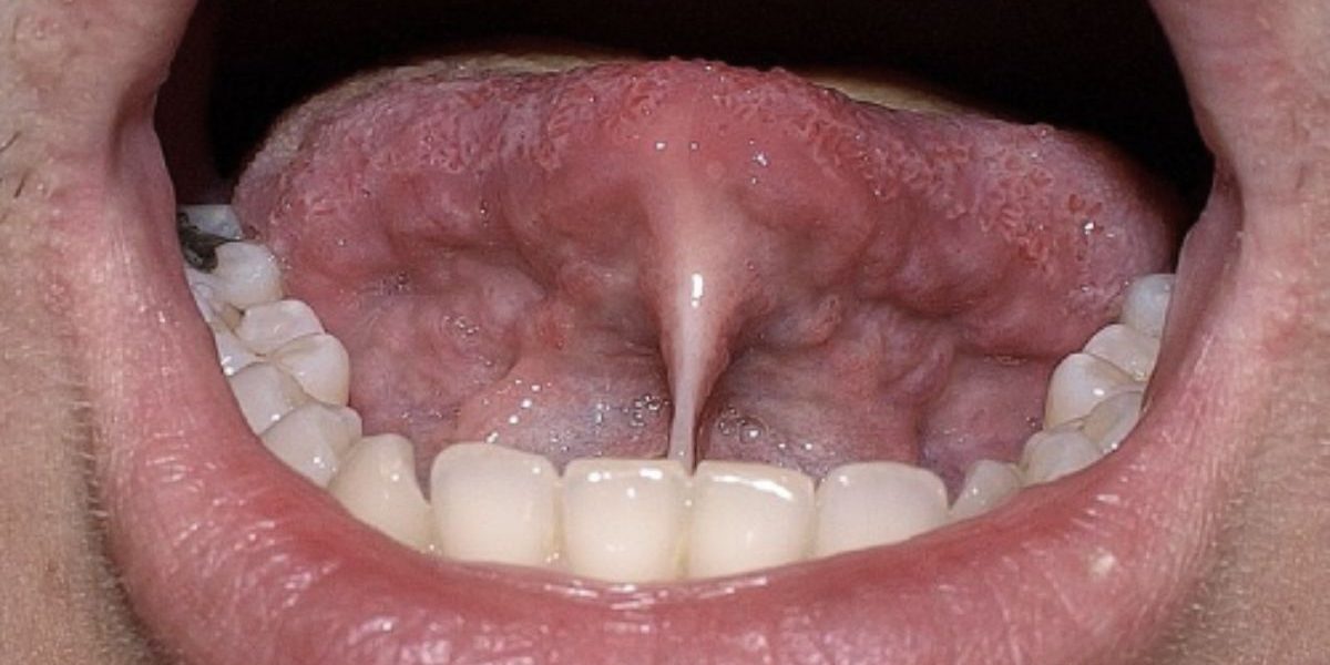
- Frenillo Lingual
Este tejido conecta la lengua al suelo de la boca, facilitando las actividades orofaciales, como la succión, deglución, masticación, y el habla.
Cuando este frenillo presenta una longitud reducida, se restringe la movilidad lingual, una condición conocida como anquiloglosia, pudiendo interferir con la lactancia en neonatos, afectar la ingesta nutricional, y ocasionar problemas de articulación fonética en niños más grandes.
Además, puede generar dificultades en la higiene oral y, a largo plazo, patologías dentales y periodontales.
- Frenillos Labiales
Situados en la línea media bucal, estos frenillos vinculan los labios superiores e inferiores con las encías del maxilar y la mandíbula respectivamente. Al igual que el frenillo lingual, los frenillos labiales cortos pueden generar diastemas (espacios entre los dientes) y repercutir en la pronunciación y la respiración.
Implantes dentales en Barcelona.
Dientes fijos en 1 día.
Solicita el Mejor Precio para los Mejores Implantes Dentales en Barcelona.
Manejo y Tratamiento
El abordaje de los frenillos cortos o patológicos es esencial para prevenir y solucionar problemas asociados. A menudo, un enfoque multidisciplinario involucrando a odontopediatras, ortodoncistas, cirujanos, y logopedas resulta fundamental para una evaluación y tratamiento precisos.
Momento Apropiado para la Intervención
La intervención temprana, idealmente durante el periodo de lactancia o al comienzo de la etapa escolar, es crucial. La frenectomía, que implica el corte de algunas fibras del frenillo para mejorar la movilidad, se realiza utilizando técnicas mínimamente invasivas como el láser CO2 en niños mayores, ofreciendo una recuperación rápida y sin complicaciones postoperatorias significativas.
Recuperación Postoperatoria
Tras la intervención quirúrgica, es fundamental seguir un programa de terapia logopédica y realizar ejercicios de estiramiento para optimizar la funcionalidad orofacial y evitar la recontracción del frenillo.
CEID Clínicas dentales: Especialistas en implantes dentales
«cambiamos vidas, no sólo sonrisas».
EXCELENTE A base de 141 reseñas Publicado en Koko27 Mayo 2025 Super contento!!! Recomendable 100% Me quitaron la parte superior entera, me pusieron los implantes y me fuí a casa en el mismo día con los dientes puestos. Gran equipo personal y profesional Muchas gracias!Publicado en Pilar De Lamo Gonzalez16 Mayo 2025 Hace muchos años que voy y tambien he llevado a mis hijos, todo genial La gente es muy amable y acogedora Lo recomiendo 100%Publicado en Manuel Duran Tienza13 Mayo 2025 El Dr Canepa y su equipo me realizaron un carga inmediata en el día y vuelvo a sonreír gracias a todos el equipo !!!Publicado en Luigi di leo9 Mayo 2025 Sinceramente tanta esperienza super accoglienza molto brave le assistenti lavorano due dottori nello stesso tempo per fare bene i fori nel osso.Super professionnalisme ora vedro i risultati ma gia sono super contento il dottore Canape una macchina da guerra grazie per il sorriso sei un angelo dottore Dio ti benedica fatti non chicchiere questo Dottore e un monstre lo consiglio sia ai francesi che gli italiani 5500 euro meno lo stsso lavoro in francia.Grazie ancora a tutto l équipe CEDIC.Publicado en Melissa Alvarez19 Abril 2025 Estoy muy encantada con todo el equipo Un trato super especial y un trabajo super bien ???????????????? me encanta ????Publicado en Marina Vidal27 Marzo 2025 Me hice una carga inmediata me operaron por la mañana y a la tarde salí con la dentadura, lo recomiendo 100x100, nada de dolor, llevaba 16 años sin sonreír y gracias a ellos lo han conseguido, personal de diezPublicado en Olga Triviño6 Febrero 2025 Estoy muy contenta con el trato y el resultado de la ortodoncia Invisaling , el blanqueamiento dental me quedó perfecto Muchas gracias a todo el equipo de CEID.Publicado en Maria Aizcorbe6 Febrero 2025 Muy buenos cuidados. Profesionales muy atentos y amables. Salgo muy contenta.Publicado en Alis Perez6 Febrero 2025 Implantes fijos en un día, gracias al doctor Canepa y su equipo , y la sedacion, excelente y no me entere de nada. Los recomiendo!!! GraciasPublicado en Adriana - TANGERINE16 Enero 2025 Me hicieron sentir súper segura y cómoda ????????






