Los triángulos negros no solo afectan la apariencia de la sonrisa, haciéndola lucir envejecida y descuidada, sino que también tienen implicaciones para la salud bucal. La acumulación de placa y restos de comida en estos espacios puede provocar mal aliento, caries y enfermedades de las encías. Por tanto, tratarlos no solo tiene beneficios estéticos, sino también de salud dental general.
¿Qué son los Triángulos Negros en la sonrisa?
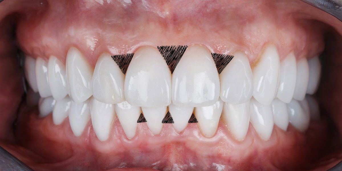
Los «triángulos negros» son aquellos espacios oscuros que aparecen entre los dientes y las encías cuando la papila dental, que es la porción de encía que se encuentra entre los dientes, se retrae. Estos espacios no solo afectan la estética de la sonrisa, sino que también pueden ser un indicio de problemas de salud dental como enfermedad periodontal o pérdida ósea. Además, los triángulos negros pueden acumular alimentos y placa, aumentando el riesgo de caries y problemas de encías.
¿Cómo Funcionan las Carillas Dentales en el Tratamiento de Triángulos Negros?
Las carillas dentales pueden cerrar eficazmente los triángulos negros al añadir volumen a los dientes y modificar su forma para llenar los espacios oscuros. Este tratamiento estético es altamente efectivo, proporcionando resultados inmediatos y una mejora notable en la apariencia de la sonrisa.
El procedimiento de colocación de carillas implica la eliminación de una pequeña cantidad de esmalte dental para permitir la adhesión adecuada de la carilla. Luego, se toma una impresión del diente para crear una carilla personalizada que se ajustará perfectamente a la forma y tamaño del diente del paciente. Finalmente, la carilla se cementa en su lugar, y el dentista realiza los ajustes necesarios para asegurar un resultado estético y funcional óptimo.
Ventajas de las Carillas Dentales
- Resultados Estéticos Inmediatos: Las carillas pueden transformar la apariencia de los dientes de manera significativa y rápida.
- Durabilidad: Con el cuidado adecuado, las carillas pueden durar entre 10 y 15 años.
- Cuidado Sencillo: El mantenimiento de las carillas no difiere mucho del cuidado de los dientes naturales; cepillado regular, uso de hilo dental y visitas periódicas al dentista.
- Solución Versátil: Las carillas no solo tratan los triángulos negros, sino que también corrigen otros problemas estéticos como manchas, desgastes y ligeras desalineaciones.
Procedimiento de Colocación de Carillas Dentales
- Consulta Inicial: Durante la primera visita, el dentista evaluará la salud bucal del paciente y discutirá sus objetivos estéticos. Se tomarán radiografías y se examinarán los dientes y encías para asegurarse de que no haya problemas subyacentes que necesiten ser tratados antes de la colocación de las carillas.
- Preparación del Diente: Se elimina una pequeña cantidad de esmalte del diente para permitir que la carilla se asiente correctamente. Este paso es crucial para asegurar que las carillas no se vean voluminosas o fuera de lugar.
- Toma de Impresiones: Se toman impresiones de los dientes que necesitan carillas. Estas impresiones se envían a un laboratorio dental, donde se fabricarán las carillas personalizadas.
- Colocación de Carillas Provisionales: En algunos casos, se pueden colocar carillas temporales mientras se fabrican las definitivas.
- Cementación de las Carillas: Una vez que las carillas permanentes están listas, se prueban en los dientes para verificar el ajuste y la estética. Si todo está correcto, se cementan en su lugar utilizando un adhesivo dental fuerte.
- Ajustes Finales: El dentista realizará los ajustes necesarios para asegurar que las carillas se integren perfectamente con la mordida del paciente.
Cuidados Posteriores y Mantenimiento
- Higiene Bucal Diaria: Cepillarse los dientes al menos dos veces al día y usar hilo dental regularmente.
- Evitar Hábitos Dañinos: No morder objetos duros, como lápices o hielo, que pueden dañar las carillas.
- Visitas Regulares al Dentista: Programar chequeos y limpiezas dentales regulares para mantener la salud bucal y monitorear el estado de las carillas.
CEID, especialistas en Carillas dentales
En CEID Clínica Dental en Barcelona, contamos con un equipo de expertos en estética dental que están listos para ayudarte a lograr la sonrisa de tus sueños. Si estás interesado en aprender más sobre cómo las carillas dentales pueden beneficiarte, no dudes en contactarnos para una consulta.
«cambiamos vidas, no sólo sonrisas».

Solicite ahora su consulta gratuita







