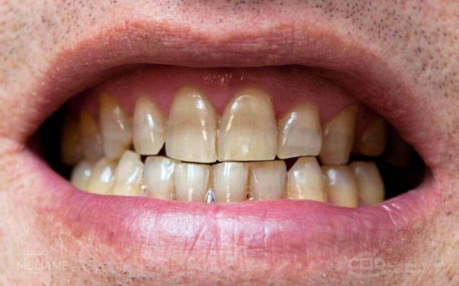
Carillas Inyectadas de Composite
En CEID, clínica dental ubicada en el corazón de Barcelona, nos especializamos en ofrecer tratamientos dentales de vanguardia para nuestros pacientes. Uno de los procedimientos más innovadores y populares en la actualidad es el uso de carillas inyectadas de composite. Este tratamiento ha ganado popularidad debido a su capacidad para mejorar la estética dental de…


